new smile dental near me
Personalized Care and Guidance. Welcome to I Smile Dental We are dedicated to providing the highest quality dental care by using state-of-the-art technology and by offering the most careful restorative dentistry.
Quincy Dentist Near Me Q Smile Dental Quincy Ma
See reviews photos directions phone numbers and more for Kool Smiles locations in New Milford NJ.
. It makes receiving high-quality dental care easy affordable and. New Ways To Smile. We will ensure that you and your family receive the best preventive care diagnostics.
Registered Dental Assistant RDA. The Smilist ONE Membership Program is designed to help patients have happier healthier smiles. In as little as 10 days our highly trained and qualified specialists will get rid of your dentures forever and give you a much better quality of life.
Latest equipment and top quality materials are used for best possible fit strength and aesthetic. Top Rated Dental Implant. Contact us if you have any questions.
Our friendly Casselberry dental team has expertise in the full range of dental services. Full Time Part Time position. At New Smiles Dental Lab we design dental solutions to custom fit our clients needs.
28895 Greenspot Rd Ste. Starting at 25 Month. New Smiles Dental Studio - Visit our skilled Dentist in Highland CA.
Center In San Diego. We are a private dental office providing dental services to area of Tyler Longview Lindale Old Jacksonville Chandler Whitehouse Flint New Chapel Hill. Job in Piscataway - Middlesex County - NJ New Jersey - USA 08854.
At New Day Smile Dental Group Youll Find Quality Dental Care And All The Specialists You Need In One Location. Monday 830am - 500pm. We areSee this and similar jobs on LinkedIn.
YEARS IN BUSINESS 732 566-8484. From Essex Ave simply head north on Stelton Rd. Were the one-stop shop for all your full-arch implant dental needs.
Call today or request an appointment online. At the same time you will save 70 or more. My New Smile Dental is a top-rated dental implant center in Nashville TN.
Job in Piscataway - Middlesex County - NJ New Jersey - USA 08854. Come join one of the Top 10 Emerging Groups to Watch as voted by Group Dentistry Now.
Cosmetic Implant Dentist In Nashville Tn My New Smile Dental
Dental Veneers And Laminates Santa Clarita Ca A New Smile Cc
Northwest Arkansas Dentist Cosmetic Dental Services In Lowell
Dental Clinic New Smile Booking Dentist
Natural Smile Makeover Cosmetic Dentist Near Me In New York City
Smile Makeover Beachwood Dental Services Best Cosmetic Dentist Cosmetic Laser Implants Dentistry Center
A New Smile Cc General Dentistry Santa Clarita Ca
My New Smile Dental Peyman Raissi Dds Nashville Tn Facebook
New Year New Smile Aquae Sulis Dental
Dental Implants Bellevue Ne Missing Tooth Replacement
1 Cosmetic Dentist In Sewell Nj Smile Restorations Near Me Affordable Comsetic Dentistry Connolly Family Dentistry
Andrew E Chu Dds New Smile Dental Meet The Staff In Tustin
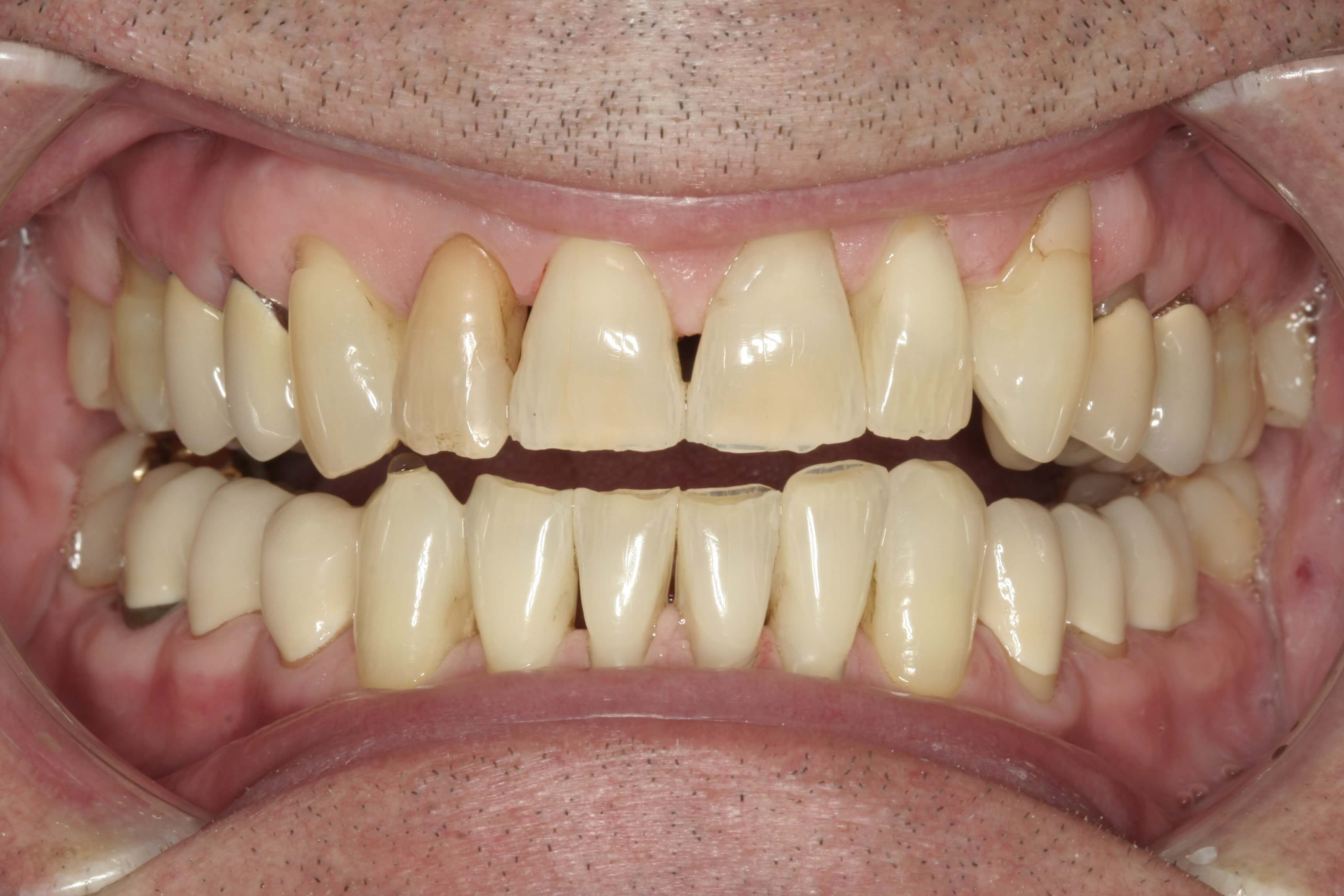
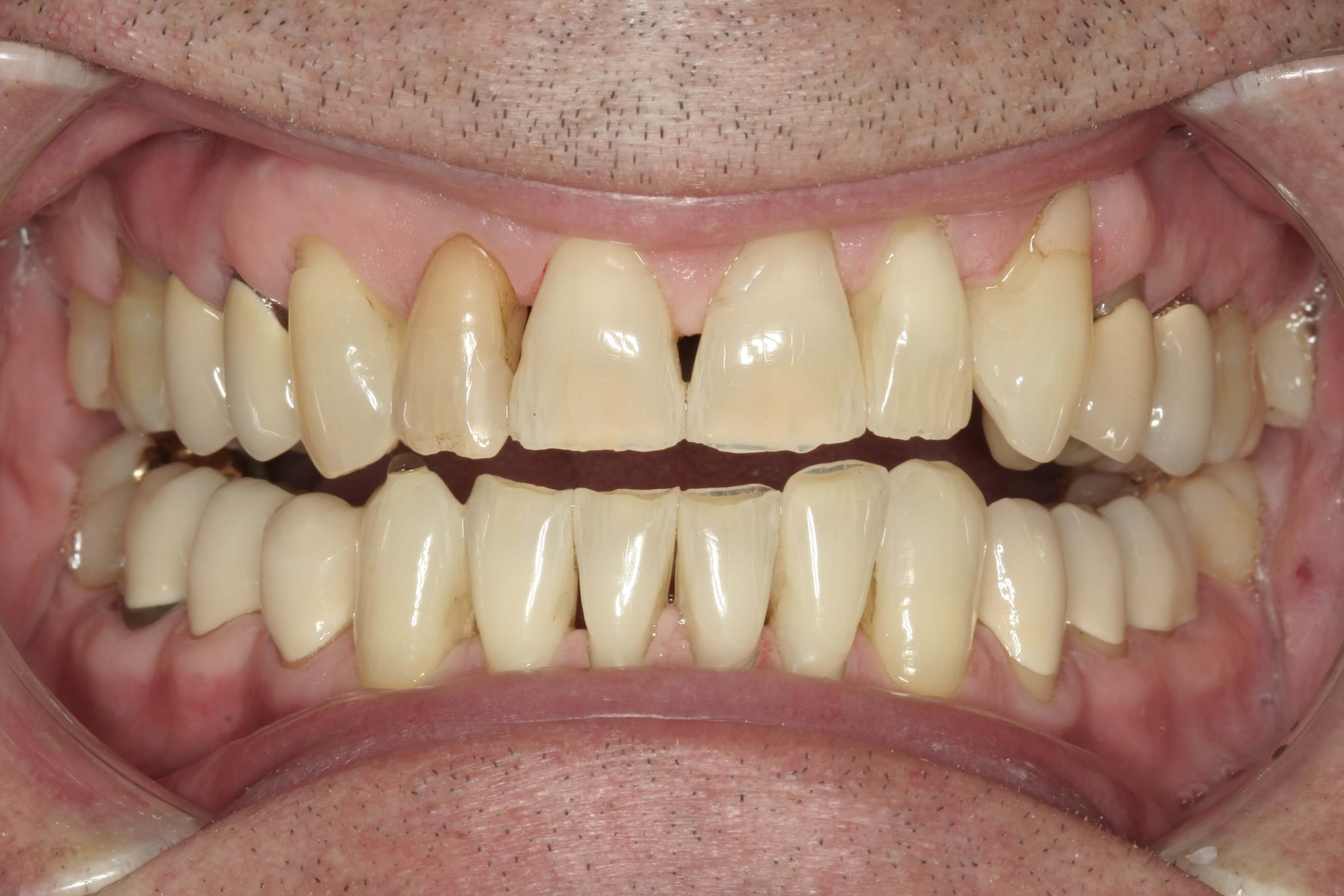
New Smile With New Front Teeth Burlington Smiles Dental
San Diego Escondido Dentist A Dental Implants
Best Dentist Near Me In Fresno Ca 93720 All Smiles Dental Fresno
New Smile Dental 113 Photos 291 Reviews 405 S La Brea Ave Inglewood Ca Services Yelp


